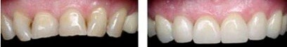
Что такое виниры?
Виниры — это керамические или композитные пластинки, замещающие вестибулярный (передний) слой зубов. Они позволяют скорректировать нарушения формы и цвета зубов. Виниры изготавливаются индивидуально в соответствии с формой, цветом зубов пациента и его пожеланиями. Виниры изготавливают лабораторным способом. Виниры относят к технологии микропротезирования, так же как полукоронки и вкладки онлэй или оверлэй на жевательной группе зубов.
Композитные виниры также изготавливают лабораторным методом: после снятия оттиска получают модель, затем моделируют винир из стоматологических композитных масс, затем его полимеризуют в специальных полимеризационных печах, и усиливают термически. В клинике винир фиксируют на жидкотекучий композит. Выглядит такой винир красиво и естественно, но всё же уступает керамическому, в том числе по прочности и долговечности. Служат такие виниры до 5 лет, и требуют ухода, как за прямой реставрацией
Композитные виниры
Керамические виниры
Сначала врач препарирует (обтачивает) зуб, затем получает оттиск отпрепарированных и соседних зубов, который отправляется в зуботехническую лабораторию. После чего на препарированный зуб фиксируется временный винир. В зуботехнической лаборатории в это время изготовляют уже постоянный винир либо методом наслоения керамических порошков (классический метод), либо методом керамического литья под давлением (импресс-керамика), либо методом вытачивания из цельных керамических блоков (CAD/CAM технологии). Затем зубной техник его раскрашивает специальными красками под цвет рядом стоящих зубов. Теперь винир готов и фиксируется на зубе специальной композитной системой.

Керамические виниры обладают большей прочностью и долговечностью, служат до 10 лет. Такими винирами можно создать все естественные особенности и красоту зуба. Немаловажно и то, что керамические виниры со временем не меняют своего первоначального цвета.
Люминиры
Люминиры - тончайшие полупрозрачные керамические виниры, которые фиксируются на переднюю поверхность зуба почти без его препарирования(обтачивания). Толщина люминира от 0,3 до 0,5 мм, из-за отсутствия обточки зубы незначительно увеличиваются в объеме. По прочности не уступают обычным керамическим винирам. Не рекомендуется применять при дисколорации (темном цвете) эмали, так как толщина люминира недостаточна для скрытия дефекта цвет зуба.

Все особенности и тонкости данных методов восстановления зубов Вы можете узнать и обсудить на консультации у вашего стоматолога.