Системы пассивного лигирования Damon статья для пациентов
Ортодонтическое лечение аномалий прикуса – это сложный длительный процесс, требующий больших усилий врача и содействия пациента. На всём протяжении лечения зубочелюстная система пациента претерпевает множественные перестройки костной ткани, связочного аппарата зуба, мышц лицевой области. Это обуславливает длительность времени лечения.

При лечении на традиционных брекетах с активным лигированием организму помимо перестройки костной ткани, при каждой смене лигатур, приходиться справляться (отвлекаться от процесса перестройки ) с микротравмами сосудов костной ткани, возникающими от сдавливания при активации брекетов. Это существенно сказывается на качестве и сроках ортодонтического лечения.

Damon-система предлагает ортодонтию слабых сил трения – самолигирующие брекеты. В отличие от традиционных брекетов, каждый брекет Damon имеет замочек, который, закрывает рабочую дугу в паз брекета и обеспечивает слабые силы трения без микротравм сосудов костной ткани окружающей зуб. Перестройка костной ткани идёт постепенно, очень мягко и физиологично, что сокращает сроки лечения ( от 12 до 16 месяцев). Данная система предполагает использование очень эластичных дуг с маленьким сечением, что снижает дискомфорт и болевые ощущения пациента в начале ортодонтического лечения.

Сокращается количество посещений ортодонта. Врач и пациент встречаются 1 раз в10 недель только для смены дуги, так как выпадает момент смены и активации лигатур. При использовании же систем активного лигирования , посещать врача необходимо каждые 2-3 недели и сроки лечения увеличиваются (от 1,10 до 2,5 лет). При ортодонтическом лечении на Damon-системе сроки лечения сокращаются.
Система Damon предлагает много разновидностей самолигирующих брекетов:
Damon 2 – первая версия металлических брекетов
Damon 3 – эстетические брекеты, имеют изящную форму, меньший размер. 70% составляет полупрозрачный композит, усиленный керамикой, вследствие этого брекеты Damon 3 менее заметны.
Damon 3 MX – вариант с металлической платформой универсальной для фиксации.
Damon Q – металлические брекеты улучшенной комплектации размера мини.
Damon Clear – эстетичные сапфировые брекеты пассивного лигирования.
Пассивное лигирование – это ортодонтия 21 века, обеспечивающая более качественное и менее травматичное лечение , комфорт для пациента и врача, в более короткие сроки лечения. В среднем хороший результат достигается за 1- 1,5 года, в зависимости от диагноза, и уменьшается время ретенционного периода, что так же не маловажно при планировании сроков лечения.
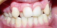
ДО ОРТОДОНТИЧЕСКОГО ЛЕЧЕНИЯ
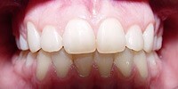
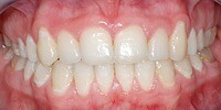
ПОСЛЕ ОРТОДОНТИЧЕСКОГО ЛЕЧЕНИЯ